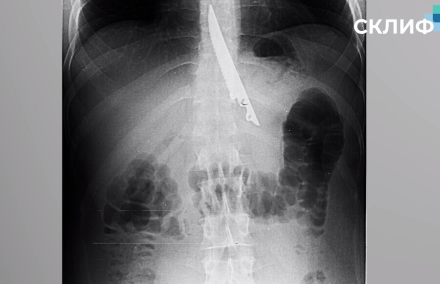
В Москве врачи чудом спасли мужчину, который случайно проглотил нож, сообщили в пресс-службе НИИ имени Склифосовского. Инцидент произошел, когда мужчина в компании друзей на отдыхе жарил шашлык.
Он подавился куском мяса, а его окружение не придумало ничего лучше, как протолкнуть еду 20-сантиметровым ножом. В итоге шашлычник случайно проглотил острый предмет. Врачи Склифа извлекли его, проведя операцию.
В практике врачей НИИ также были случаи, когда пациенты на спор или при других обстоятельствах глотали часы и градусники.
Как говорят врачи института, самые частые инородные предметы в желудке - это кости, иголки и протезы. Как правило, они попадают внутрь случайно.


